-
سائنس و ٹیکنالوجی
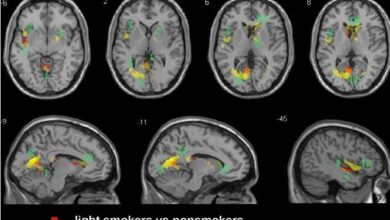
سگریٹ نوشی دماغ کو سکڑتی ہے
سائنسی شواہد سے پتہ چلتا ہے کہ سگریٹ نوشی دماغ کو سکڑتی ہے۔ ایک حالیہ تحقیق میں بتایا گیا ہے…
Read More » -
سائنس و ٹیکنالوجی
زیادہ دیر پانی میں رہنے سے انگلیوں پر چھالے کیوں پڑتے ہیں؟
کیا آپ نے کبھی سوچا ہے کہ آپ کی انگلیاں زیادہ دیر تک پانی میں بھگونے سے کیوں پھٹ جاتی…
Read More » -
کاروبار
مختلف قومی بچت اسکیموں پر منافع کی شرح میں کمی
قومی بچت کی مختلف اسکیموں پر منافع کی شرحوں پر نظر ثانی کی گئی ہے۔ نیشنل سیونگز ڈائریکٹوریٹ کے مطابق…
Read More »

